Благодаря новейшим стоматологическим технологиям утрата одного либо нескольких зубов не представляет неразрешимой проблемы. Современные зубные протезы способны вернуть пациенту привлекательную улыбку, а вместе с тем уверенность в себе, даже в, казалось бы, безнадежных случаях. Качественные протезы зубов незаметны для окружающих: материалы отлично имитируют природные оттенки десен и зубной эмали. Об особенностях и критериях выбора зубных протезов различных видов — наша статья.
Содержание статьи
- Современные зубные протезы фото
- Конструкции зубных протезов
- Виды зубных протезов при отсутствии зубов
- Виды съемных зубных протезов при отсутствии зубов
- Съемные зубные протезы какие лучше, отзывы
- Полностью съемные зубные протезы какие лучше, отзывы
- Виды частичных съемных зубных протезов
- Виды верхних зубных протезов
- Виды зубных верхних протезов без нёба
- Виды зубных протезов на нижнюю челюсть
- Частичные съемные зубные протезы какие лучше, отзывы
- Зубные протезы присоски какие лучше
- Верхние зубные протезы какие лучше, отзывы
- Виды несъемных зубных протезов
- Виды зубных мостовых протезов
- Виды зубных протезов на имплантатах
- Несъемные зубные протезы какие лучше, отзывы
- Виды крепления зубных протезов
- Материалы современных протезов
- Материал для зубных протезов какой лучше
Современные зубные протезы фото

Конструкции зубных протезов

К зубным протезам относят любые искусственные конструкции, используемые для замещения отдельных выпавших или удаленных зубов, участков зубных рядов либо всех зубов.
По назначению и техническим особенностям различают:
- зубные коронки;
- мостовидные протезы;
- имплантаты;
- протезы-«бабочки»;
- малые седловидные протезы;
- пластиночные протезы;
- бюгельные (дуговые) протезы;
- гибкие зубные протезы на присосках.
Виды зубных протезов при отсутствии зубов
По способу фиксации в полости рта различают зубные протезы:
- полные съемные;
- частичные съемные;
- несъемные;
- комбинированные.
По типам крепления протезы зубов бывают:
- на скобах, или кламмерах;
- на замках, или аттачменах;
- на телескопических коронках;
- на пелотах (фиксирующих выступах);
- на пластинах-присосках;
- на имплантатах.
Решение о выборе той или иной конструкции зубного протеза принимают с учетом:
- количества отсутствующих зубов;
- состояния полости рта, десен и зубных корней;
- плотности челюстной кости;
- наличия и расположения опорных зубов;
- индивидуальных показаний / противопоказаний;
- пожеланий пациента.
Виды съемных зубных протезов при отсутствии зубов
Если утрачены все или большинство зубов, для их замещения используют съемные протезные конструкции покрывного типа. Этот же вид протезирования выбирают, если отсутствуют либо сильно разрушены опорные зубы, к которым можно надежно прикрепить протез.
Для протезирования при значительной утрате зубов применяют:
- полные съемные пластиночные зубные протезы на присосках;
- условно съемные пластиночные зубные протезы на мини-имплантатах.
Полные съемные зубные протезы (покрывные) представляют собой цельнолитые акриловые либо нейлоновые пластины подковообразной формы — базисы. Они практически полностью покрывают десна и в точности повторяют их индивидуальный рельеф. Полный пластиночный протез верхней челюсти на три четверти закрывает твердое нёбо. Съемный протез нижней челюсти лишь слегка опирается на подъязычную область, оставляя мягкое нёбо свободным.
К базисам съемных покрывных протезов крепят искусственные зубы, чаще — пластмассовые. Фиксируются такие полные протезные конструкции благодаря плотному прилеганию к альвеолярным отросткам, слизистым нёба и десен и эффекту присасывания. Для надежности крепления съемных пластиночных протезов дополнительно применяют специальные фиксирующие кремы.

Полный съемный зубной протез
Плюсы полных съемных протезов зубов — в несложной предварительной подготовке и относительно невысокой стоимости. Средняя цена покрывной акриловой конструкции на одну челюсть в российских стоматологических клиниках — от 9 000 руб. Минусы: длительное привыкание, недостаточно надежная фиксация (особенно на нижней челюсти), неравномерное распределение жевательной нагрузки, и, как следствие, быстрая атрофия и разрежение костных тканей десен.
Полные протезы на мини-имплантатах — прочных титановых штифтах, внедренных в десна, — относят к условно-съемным конструкциям. Безусловно, это наиболее надежный и комфортный для пациента метод протезирования зубов. Но стоит учитывать, что подходит он не всем. Одно из условий установки полного зубного протеза на имплантатах — достаточная плотность костной ткани десен либо предварительная костная пластика.

Полный зубной протез на мини-имплантатах
Преимущества зубных протезов на имплантатах — легкость и удобство (протез верхней челюсти моделируют без нёбной пластинки), прочность, быстрая адаптация. Однако, учитывая стоимость имплантатов (а их необходимо установить, как минимум по 4 на каждую челюсть), этот вид протезирования весьма недешев.
Съемные зубные протезы какие лучше, отзывы
Ольга, 33 года. Так получилось, что к 30 годам я осталась с тремя более-менее сносными зубами. Сейчас стоят обычные акриловые пластины на обеих челюстях. Не скажу, что мне очень комфортно. Верхний присасывается нормально, нижний свободно плавает над десной. Приходится следить, чтобы не выпал. Но уже одно то, что не нужно постоянно прикрывать рот, стесняться улыбаться и разговаривать, настоящее счастье. Планирую, конечно, подкопить денег на протез с имплантатами.
Полностью съемные зубные протезы какие лучше, отзывы
Андрей, 43 года. Всем, кто выбирает полный протез, очень рекомендую не экономить и сразу сделать на имплантах. Врач утверждал, что это другое качество жизни, и был прав. Конечно, процесс длительный и недешевый. Пришлось приводить в порядок десны, делать дорогущую костную пластику, волноваться, приживутся ли импланты. Но результат того стоит!
Виды частичных съемных зубных протезов
Для замещения одного либо нескольких утраченных зубов, а также небольших фрагментов зубных рядов применяют частичные съемные протезы различных видов. Необходимое условие их установки: наличие здоровых или качественно восстановленных опорных зубов с крепкими корнями, способных выдержать протезную конструкцию и жевательные нагрузки.
Для частичного протезирования зубов используют:
- бюгельные, или дуговые, зубные протезы;
- частичные покрывные пластиночные протезы;
- съемные гибкие нейлоновые протезы;
- протезы «бабочка».
Бюгельные зубные протезы. Легкие, прочные и комфортные бюгельные конструкции — один из наиболее предпочтительных видов частичных зубных протезов. Каркас «бюгеля» представляет собой тонкую металлическую либо полиацеталевую дугу, которую фиксируют к опорным зубам с помощью скоб (кламмеров), замков (аттачменов) либо телескопических коронок.
К дуге бюгельного протеза крепят фрагменты акриловых либо нейлоновых пластин с пластиковыми искусственными зубами. Для стабилизации и равномерного распределения жевательной нагрузки протез верхней челюсти изготавливают с одной либо несколькими металлическими перемычками под твердым нёбом. Необходимое условие установки бюгельного протеза — покрытие опорных зубов защитными коронками.

Частичные пластиночные протезы. Акриловые пластиночные конструкции — один из бюджетных вариантов восстановления утраченных зубов. Бывают односторонними и двусторонними (для замещения зубов на одной либо на обеих сторонах челюсти). Крепятся к опорным и концевым зубам с помощью металлических и ацеталевых кламмерных систем.
Верхний двусторонний пластиночный протез частично или полностью прилегает к твердому нёбу. Это обеспечивает дополнительную фиксацию за счет эффекта присасывания. Акриловые протезы могут вызывать аллергию, поэтому подходят не всем.

Гибкие нейлоновые протезы зубов. Пластиночные цельнолитые съемные конструкции из полупрозрачного нейлона с кламмерной системой фиксации из того же материала. Другое название нейлоновых зубных протезов — «мягкие». Это не совсем так. Протезы из нейлона довольно прочные и плотные, но при этом тонкие, эластичные и гибкие. Их изготавливают по индивидуальным слепкам челюстей методом литьевого прессования. В результате нейлоновые протезы идеально присасываются к деснам и нёбу, надежно удерживаются во рту.
К плюсам нейлоновых протезов можно отнести их эстетичность (за счет прозрачных кламмеров они практически незаметны), комфортность, гипоаллергенность и невысокую стоимость. К недостаткам — недолгий срок службы (3—4 года) и неспособность обеспечивать правильное распределение жевательной нагрузки на десны.
Зубные иммедиат-протезы «бабочка». Так называют компактные частичные протезы, использующиеся для замещения одного-трех утраченных зубов. Они представляют собой небольшие акриловые либо нейлоновые базисы, имитирующие десны, на которых закреплены искусственные зубы. Крепится протез «бабочка» к соседним здоровым зубам посредством двух кламмеров. Чаще такие конструкции применяют как временные.

Виды верхних зубных протезов

Металлический бюгельный протез на верхнюю челюсть

Полиацеталевый бюгельный протез для верхней челюсти

Нейлоновый зубной протез на верхнюю челюсть

Акриловый частичный протез для верхней челюсти

Безакриловый верхний протез на имплантатах
Виды зубных верхних протезов без нёба
Для правильного распределения жевательной нагрузки, стабилизации и фиксации верхних съемных зубных протезов за счет присасывания их изготавливают с широкой, покрывающей до 3/4 твёрдого неба пластиной.
Такие модели съемных протезов прочны и надежны, однако имеют ряд недостатков:
- массивность конструкции;
- дискомфорт от ощущения инородного материала во рту;
- нарушение вкусовых ощущений;
- повышенное слюноотделение;
- сложности с восстановлением дикции;
- долгое привыкание и т. п.
Альтернатива традиционным конструкциям — легкие, комфортные протезы «без нёба»:
- съемные бюгельные протезы;
- съемные зубные протезы Квадротти;
- условно-съемные «сэндвич»-протезы на аттачменах либо имплантатах.

Бюгельный зубной протез

Зубной протез «Квадротти»

Зубной протез «сэндвич»
Виды зубных протезов на нижнюю челюсть

Нижний бюгельный протез на аттачменах

Бюгельный протез с телескопическими коронками

Односторонний нижний бюгельный протез

Полиацеталевый зубной протез на нижнюю челюсть

Акриловый протез с кламмерами на нижнюю челюсть

Нейлоновый зубной протез для нижней челюсти
Частичные съемные зубные протезы какие лучше, отзывы
Валентина, 37 лет. Лучше бюгеля нет протеза! Во-первых, доступный по цене. Во-вторых, легенький, удобный, я его вообще не ощущаю. Есть, с чем сравнивать. Это мой второй протез, до бюгельного стоял съемный на кламмерах. Жутко неудобный! Постоянно воспалялись десна, жевать удавалось кое-как. Не знаю, может сделали неправильно, но за пять с лишним лет так и не смогла привыкнуть.
Анна, 42 года. Стоматолог порекомендовал нейлоновый протез. Пока ставили, сильно сомневалась. Начиталась «страшилок» в сети: дескать, и недолговечный, и неудобный, и запахи впитывает, и быстро теряет вид… Что сказать? Я очень довольна. Ношу четвертый год, менять пока не собираюсь. Легкий, красивый, никаких проблем и дискомфорта не чувствую. Выглядит, как новенький. Чищу время от времени таблетками «Корега». Наверное, мне очень повезло с врачом.
Зубные протезы присоски какие лучше
Олег, 45 лет. Три года назад сделал нейлоновый протез на присосках на верхнюю челюсть. Результатом доволен. Проблем с жеванием и речью не возникало. Привык быстро. Очень легкий и почти неощутимый. Присасывается намертво, приходится прилагать усилия, чтобы снять. Выглядит достойно. За счет прозрачных кламмеров во рту незаметен. Если стоит проблема выбора, советую.
Светлана, 39 лет. Пользуюсь обычным акриловым протезом-присоской на двух кламмерах. Сравнивать не с чем, других у меня не было. Но мне нравится. Очень удобно. Смотрится естественно. От природы мои зубы темноваты, так вот, их покрыли коронками. И теперь улыбка — просто идеальная. Протез хорошо прилегает к нёбу, отлично присасывается. Переживать о том, что может выпасть, не приходится.
Верхние зубные протезы какие лучше, отзывы
Ирина, 54 года. Извечный страх перед стоматологами сделал свое дело. Зубы разрушились настолько, что пришлось задуматься о протезе. Врач порекомендовал бюгель на замочках. Поставила 4 года назад. В целом очень довольна. Привыкла за 2 недели, жевать удобно, дикция не изменилась. Во рту протез незаметен, ведь замки находятся на внутренней стороне. Ухаживать легко и просто. Надеюсь, прослужит долго.
Анжелика, 40 лет. Для верхней челюсти рекомендую модель «сэндвич» на замках. По комфортности, легкости и эстетике все эти массивные присасывающиеся пластинки (до этого у меня стоял акриловый) не идут ни в какое сравнение. Выглядит натурально, во рту неощутим, жевать так же удобно, как своими зубами. Да, стоит недешево, но на комфорте и имидже предпочитаю не экономить.
Виды несъемных зубных протезов
К несъемным зубным протезам относят:
- виниры;
- вкладки;
- коронки;
- мосты;
- имплантаты.
Виниры — тонкие пластиковые либо керамические пластинки, которые крепят на наружную коронковую поверхность зуба для маскировки трещин, сколов, корректирования формы и оттенка. Виниры выполняют исключительно эстетическую функцию.

Вкладки из металла и керамики используют для восстановления сильно поврежденных коронок зубов, а также при их подготовке к различным видам протезирования.


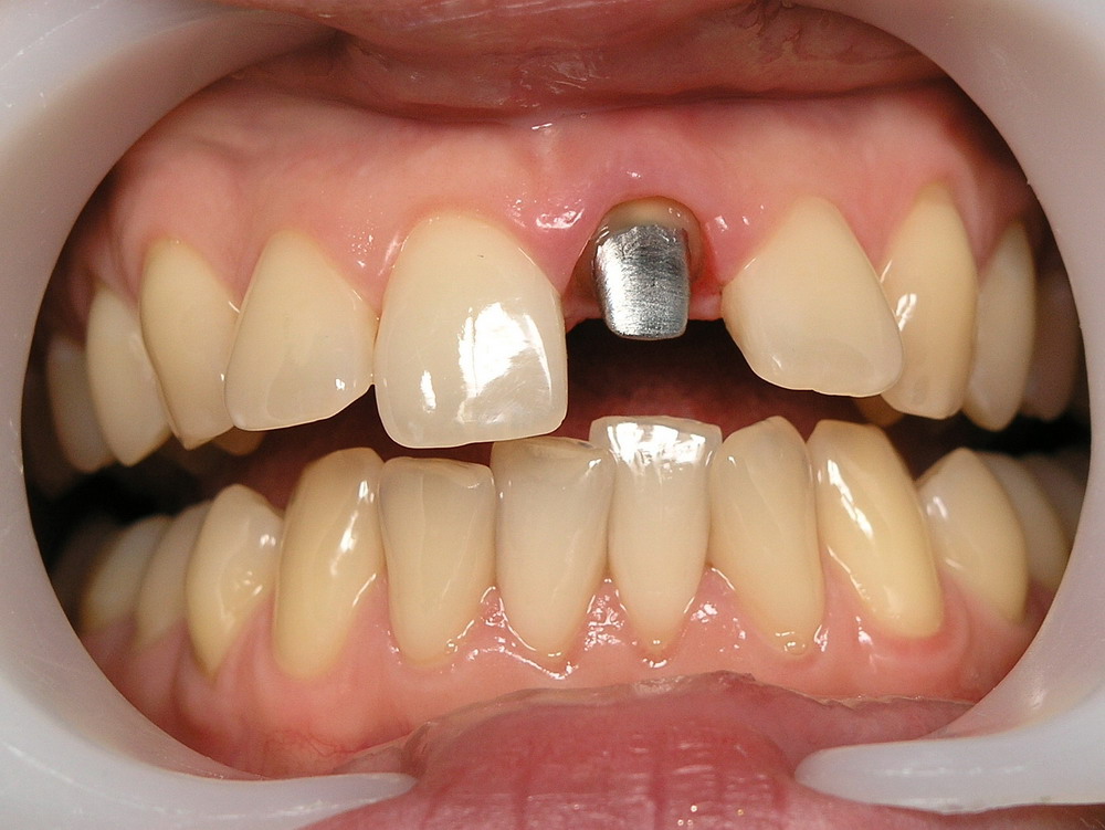
Коронками называют прочные защитные колпачки, которыми покрывают поврежденную коронковую часть зубов. Бывают металлическими, пластиковыми, керамическими и комбинированными (металлопластиковыми, металлокерамическими).

Различают коронки штампованные и цельнолитые. Второй вариант стоматологи рекомендуют как предпочтительный, так как цельнолитые коронки позволяют эффективно восстановить прикус и жевательную функцию. Обязательные условия установки коронки — полное вылечивание проблемного зуба, а также укрепление его корня с помощью штифта либо вкладки.
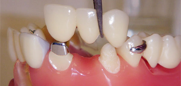
Мосты, или мостовидные протезы зубов, представляют собой монолитные комбинированные конструкции, состоящие из коронок, которые фиксируют на опорных зубах или имплантатах, и искусственных зубов.

Дентальные имплантаты, или импланты, — комбинированная протезная конструкция, состоящая из искусственного корня, который вживляется в десну, и искусственной коронковой части зуба. Установка имплантатов — один из наиболее эффективных, надежных, долговечных и комфортных для пациента способов протезирования.

Виды зубных мостовых протезов
Для восстановления целостности зубного ряда при отсутствии одного-двух либо нескольких зубов подряд используют мостовые, или мостовидные, конструкции. Они состоят из опорных элементов (коронок для соседних зубов, вкладок или имплантатов) и соединенных между собой искусственных зубов.
Мостовидные протезы моделируют таким образом, чтобы основная жевательная нагрузка распределялась между опорными зубами. Искусственные зубы располагают над десной с небольшим зазором, чтобы не допустить пролежней и скапливания остатков пищи.
Различают следующие виды мостовидных протезов:
- пластмассовые;
- металлопластмассовые;
- металлокерамические;
- керамические;
- циркониевые.
По особенностям изготовления зубные «мосты» бывают:
- штампованными;
- паяными;
- цельнолитыми;
- адгезивными (закрепленными на стекловолоконной ленте).

Паяный мостовидный протез

Цельнолитой мостовидный протез

Адгезивный мостовидный протез
Виды зубных протезов на имплантатах
В сравнении с традиционными видами полных и частичных зубных протезов на аттачменах и кламмерах, протезы на имлантатах имеют немало преимуществ. Они гораздо компактнее, легче и удобнее обычных. Крепежные элементы обладают высокой прочностью, надежно фиксируются внутри десен и совершенно незаметны во рту. Адаптация и восстановление дикции проходят легко и занимают не больше недели. Протезы на имплантатах — единственная комфортная альтернатива неудобным и массивным пластиночным конструкциям при полном протезировании.

Различают следующие виды зубных протезов на имплантатах:
- полные пластиночные;
- частичные секторальные (замещающие отсутствующие участки зубных рядов);
- одиночные сегментные (для восстановления 2—3 утраченных зубов).
Фиксируют протезы на имплантатах двумя способами: балочным либо шаровидным. В первом случае вживленные в десну искусственные корни для дополнительной прочности и равномерного распределения нагрузки соединяют титановой балкой. Во втором — применяют имплантаты с шарообразными головками, которые крепят в специальных гнездах, находящихся внутри протеза, под искусственной десной.

Балочный зубной протез на имплантатах

Зубной протез на шаровидных имплантатах
Несъемные зубные протезы какие лучше, отзывы
Андрей, 40 лет. Металлокерамический мост на двух центральных зубах и такие же коронки на четырех соседних радуют вот уже 7 лет. Привыкание супербыстрое. Стали «родными» уже через пару дней. Первое время переживал, что мостик слишком плотно прилегает к десне, и будут застревать остатки еды. Но постепенно десна немного приподнялась, протез отлично промывается. Выглядит все абсолютно натурально.
Марина, 34 года. У меня никак не приживаются имплантаты. Уйма денег и мучений вот уже три года. Хотя врач надежный и внимательный, выбирала по рекомендациям. Через месяц пробую в последний раз. Если не получится, сдаюсь и делаю обычные съемные протезы.
Виды крепления зубных протезов
В качестве креплений для различных видов зубных протезов применяют:
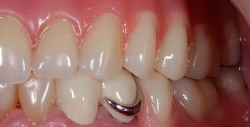
Кламмерные системы — металлические либо нейлоновые скобы, или крючки, фиксирующиеся к коронкам опорных зубов. Кламмеры используют для крепления частичных пластиночных, бюгельных, нейлоновых протезов, а также конструкций «бабочка» и «Квадротти». Кламмеры плотно прилегают к верхней части коронок зубов и достаточно надежно удерживают протезы. Однако, если опорные зубы расположены в «зоне улыбки», кламмерные крепления могут быть заметны.

Аттачмены — миниатюрные замковые или шарнирные крепежные устройства, состоящие из двух элементов, один из которых находится в коронке опорного зуба, другой — в съемном зубном протезе. Замки располагаются на внутренней поверхности зубов, поэтому совершенно незаметны. На аттачмены фиксируют только бюгельные конструкции. Обязательное условие: высокая прочность корней и коронок опорных зубов, так как фиксация на аттачмены довольно жесткая.

Телескопические коронки — комбинация двух коронок отличающихся размерами. Внутреннюю цементируют к опорному зубу, внешнюю — фиксируют в каркасе съемного протеза. Телескопические коронки используют и для бюгельных, и для пластиночных протезов.

Имплантаты — вживляемые в костные ткани десен титановые винты (искусственные корни), к которым различными способами крепят протезные конструкции. Фиксируют на имплантаты полные и частичные пластиночные протезы. Это надежный, долговечный, комфортный для пациентов, но довольно дорогой вариант протезирования.

Материалы современных протезов

Искусственные коронки зубов и мостовидные протезы изготавливают из металлических сплавов, пластмасс, керамики, оксидов циркония и алюминия, а также из комбинированных материалов — металлокерамики и металлопластика.
Полные и частичные пластиночные зубные протезы моделируют из акриловых пластмасс, из освобожденных от мономеров акриловых смол (Acree Free) от и нейлона. Искусственные зубы для этих видов стоматологических протезов делают из прочной, устойчивой к истиранию, впитыванию запахов и красящих веществ пластмассы.
Дуги для бюгельных ортопедических конструкций отливают из титана, кобальто-хромовых сплавов, полиацеталя, а также сплавов платины, серебра и золота с медью. Эти же материалы применяют для металлических вкладок и крепежных элементов бюгельных зубных протезов — аттачменов и кламмеров.
Составляющие зубных имплантатов производят из чистого титана, сплавов титана с ванадием, алюминием, цирконием и других биосовместимых материалов. Коронковую часть имплантатов изготавливают из керамики и циркония.
Материал для зубных протезов какой лучше
По отзывам стоматологов, для пластиночных протезов предпочтительны современные гипоаллергенные материалы Acree Free и нейлон. Лучшими материалами для бюгельных конструкций признаны титан и платиновый сплав. Что касается коронок и мостовых протезов, наиболее прочны, удобны и долговечны изделия из металлокерамики, керамики, циркония.
Зубные протезы любого вида, так же как натуральные зубы, нуждаются в тщательном уходе. Кроме того, потребуется раз в полгода посещать стоматолога: проверять состояние десен, делать контрольные панорамные снимки всех зубов, а при необходимости, корректировать и менять протезы. Срок службы коронок — 8—10 лет, акриловых пластиночных конструкций — 6—7 лет, бюгельных — до 10—12 лет, нейлоновых — 3—4 года. Желаем здоровья!