Зубной камень ― частая причина посещения стоматолога. Он формируется из тонкой пленки, которая покрывает зубную эмаль и со временем каменеет. Самостоятельно от него избавиться сложно, поэтому удаляют его в стоматологическом кабинете. Каковы причины появления зубного камня и как от него избавиться?
Содержание статьи
- Зубной камень у людей, фото
- Зубной камень, суть
- Поддесневой зубной камень
- Причины образования зубного камня у взрослых
- Почему зубной камень у детей
- Причины быстрого образования зубного камня
- Последствия образования зубного камня
- Зубной камень и лечение
- Способы удаления зубного камня
- Зубной камень фото до и после
- Удаление зубного камня, отзывы
- Как снять зубной камень в домашних условиях
- Гель для удаления зубного камня
- Грецкие орехи от зубного камня
- Народные средства от зубного камня
- Зубная паста, удаляющая зубной камень
- Влияют ли продукты на образование зубного камня
- Удаление зубного камня ультразвуком, отзывы
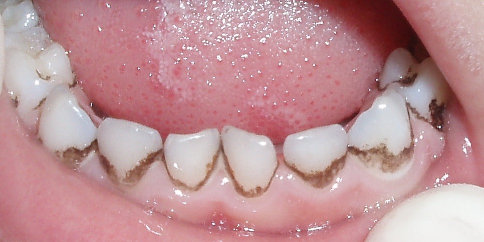
Зубной камень у людей, фото
Появляется зубной камень постепенно, порой этот процесс длится 6 и больше месяцев. Излюбленные места известкового налета ― пришеечная зона, труднодоступные для очищения щели, промежутки между зубами. Минерализованные отложения значительно ухудшают вид зубов, а также становятся виновниками гнилостного запаха, воспаления, кариеса и пародонтоза.
Вот так выглядит зубной камень на фото:


Зубной камень, суть
Зубной камень ― это простые затвердевшие отложения, которые, с химической точки зрения, являются известняком с примесью эпителиальных клеток, минералов, остатков пищи, слизи и патогенной флоры. На первых порах эта масса формирует налет на эмали, а потом затвердевает и темнеет.
Нужно ли удалять этот налет? Да. Желательно проводить профилактику до появления известкового камня, что вполне реально делать в дома. Если же время упущено, и камень уже появился, нужно сразу обращаться к специалисту или прикладывать усилия и удалять налет самостоятельно.
Пока зубной налет еще мягкий, он удаляется с помощью гигиенических процедур. Когда камень на зубах окончательно минерализовался, выход один ― обратиться в стоматологический кабинет.
Образование зубного камня проходит в два этапа, поэтому вовремя заметить и исправить ситуацию легко. На первой стадии на эмали задерживаются остатки пищи, которые становятся средой обитания бактерий. Под влиянием их жизнедеятельности вырабатываются ферменты, которые способствуют закреплению налета на эмали и дальнейшему его затвердению. На этот момент налет расположен вдоль линии десен и его можно без усилий удалить с помощью жесткой щетки и пасты.
Если гигиенические меры не были приняты, наступает вторая стадия. Налет насыщается минеральными солями, которые поступают вместе со слюной, становиться твердым и трудно смываемым. Без специальных мероприятий удалить его крайне трудно. Кроме этого, камень на зубах постоянно увеличивается в размерах за счет наслоения новых остатков пищи и их минерализации. На этом этапе налет становится неприятным на вид ― желто-коричневым или темно-серым.

Скорость образования зубного налета зависит от качества гигиенических процедур, рациона и состава слюны. В среднем на образование минерального налета уходит от 4 до 7 месяцев.
Появление зубного камня сопровождается неопрятными симптомами:
- Кровоточивость десен.
- Воспаление десен.
- Неприятный запах.
- Зуд во рту.
- Покраснение или посинение десен.
Поддесневой зубной камень
В зависимости от локализации зубные камни бывают:
- Поддесневые ― заметить их трудно. Об их существовании часто узнают только во время визита к стоматологу. Месторасположение камня ― зона зубодесневого кармана. В составе этих камней преобладает магний и кальций.

- Наддесневые ― находятся в зоне видимости, поскольку образуются чуть выше уровня десны. У них желтый цвет, который может быть более интенсивным, если человек много курит, злоупотребляет кофе.

Причины образования зубного камня у взрослых
Недостаточная зубная гигиена ― не единственная причина зубного камня. В этот процесс вовлечено много факторов ― питание, способ жизни, используемая зубная щетка и другие.

Неправильная чистка зубов
Пренебрежение тщательной чисткой зубов приводит к застаиванию пищи и размножению бактерий на эмали. Потом появляются бляшки с множеством колоний микроорганизмов и вскоре зубы покрываются каменными отложениями.
Для предупреждения такой патологии зубы следует чистить 2 минуты дважды в день, а также дополнительно использовать флосс и ополаскиватель.
Заболевания ЖКТ
Патологии внутренних органов непосредственно влияют на состав слюны и микрофлору во рту, что ускоряет темп образования камней. Например, гастрит сопровождается изменением pH желудочного секрета. Вследствие этого возникает дисбаланс минерального состава, и минерализация зубного налета усиливается.
Неправильный выбор щетки и пасты
Неправильная жесткость щетки и неподходящая зубная паста уменьшают эффективность устранения мягкого налета. Оптимальный вариант ― щетка со средней жесткостью, которая способна удалить налет, не повредив эмаль, и паста с противомикробным действием. Если на зубах заметен сильный налет, лучше отдать предпочтение лечебно-профилактическим средствам.
Преобладание в меню мягкой пищи
Если употреблять только мягкие продукты и блюда, снижается количество выделяемой слюны. Это ухудшает качество самоочищения эмали. Для профилактики в рацион вводят сырые овощи, хлебцы, каши, фрукты, орехи.
Преобладание в меню углеводов
Простые углеводы активно расщепляются прямо во рту. В результате этого сахариды сразу оседают на эмали и стимулируют размножение бактерий.
Неправильный прикус
Патологии в зубочелюстном аппарате приводят к нарушению функционирования челюстей, неправильному откусыванию пищи и неполноценному пережевыванию. Остатки пищи часто застревают в десневых карманах, провоцируя появление налета, который трудно удалять. Кроме этого, если процесс пережевывания осуществляться только одной стороной, происходит неполноценное очищение зубов.
Вредные привычки
Курение сопровождается обильным выделением смол. Они оседают на эмали, темнеют и быстро затвердевают. Ускоряет появление зубного камня и алкоголь. Он разрушает эмаль, что способствует развитию бактерий и формированию известкового налета.
Кофе
В кофе много кислот, сахаридов и белков. Эти соединения являются пищей для бактерий. Помимо этого, кофе нарушает кислотный баланс и естественную флору ротовой полости. Таким образом, каждая чашечка кофе служит катализатором образования зубного налета.
Частые перекусы
Многоразовое питание таит в себе опасность ― каждый раз после приема пищи невозможно проводить качественную гигиену рта. И не нужно надеяться на жевательную резинку ― она не предупреждает появление зубного камня. Снизить риск образования налета поможет отказ от углеводсодержащих продуктов в середине дня.
Нарушение обмена веществ
Неправильный метаболизм сопровождается избытком кальция и фосфора. Попадая в рот вместе со слюной, эти минералы вызывают появление самого опасного поддесневого налета.
Возраст
С возрастом зубной камень встречается все чаще. Это объясняется возрастными изменениями, которые также затрагивают эмаль, делая ее уязвимой. Поэтому после 40 лет желательно ежегодно проводить профессиональную чистку зубов.
Прием лекарств
Некоторые препараты, особенно антибиотики, изменяют состав и кислотность слюны, что увеличивает количество зубного налета.
Почему зубной камень у детей
Дети не так часто подвержены появлению зубного налета, как взрослая половина человечества. Но иногда налет на зубах все же появляется. Случается это по таким причинам:
- Дефицит твердой пищи в меню.
- Недостаточная гигиена рта.
- Нарушение минерального состава слюны по причине болезней ЖКТ.

Причины быстрого образования зубного камня
Особенности мгновенного формирования зубного камня носят индивидуальный характер. Причиной этого явления служит генетическая предрасположенность и неправильный белковый и минеральный обмен. В этой ситуации проще придерживаться профилактики, нежели 2-3 раза в год проходить удаление камней у стоматолога.

Последствия образования зубного камня
Минеральные отложения на эмали не только портят вашу улыбку, но и могут стать причиной серьезных патологий зубной полости — неприятного запаха, кровоточивости, потери зубов.
Самыми серьезными последствиями зубного камня являются:
- Гингивит ― воспалительный процесс в деснах, который препятствует притоку крови к мягким тканям и вызывает размножение бактерий. Часто такая болезнь сопровождается болью, гиперемией, кровоточивостью.
- Пародонтит ― ткань десны за счет зубного камня недополучает кислород и питательные вещества, воспаляется и разрушается. Это состояние сопровождается кровоточивостью и может окончиться потерей зубов.
Зубной камень и лечение
В отличие от легкого зубного налета, который прекрасно удаляется в домашних условиях, зубной камень можно полностью снять только у стоматолога. Лечение зубного камня сводится к его механическому удалению. Раньше стоматологи это делали с помощью крючка, но теперь существует более современный метод ― удаление налета ультразвуковым скалером.

Способы удаления зубного камня
Ультразвуковая очистка
С помощью УЗ-прибора и различных насадок камень легко отделяют от поверхности эмали без дискомфорта. Эта процедура занимает всего несколько минут, после чего ваши зубы выглядят ухоженными, чистыми и отполированными. При этом риск повреждения эмали и десен минимальный.
Механическая очистка
Непопулярный и устарелый метод удаления минеральных отложений стоматологическим крючком — кюретом. Эта процедура довольно длительная и болезненная, хотя и отличается дешевизной по сравнению с лазерной чисткой.
Лазерная очистка
Это бесконтактное очищение зубов с помощью лазерного аппарата. Данный метод самый щадящий, но подходит только для удаления наддесневого затвердения. В такой способ удается избавиться от камней, налета и загрязнений.
Пескоструйное очищение
Удаление камня бикарбонатом калия, который в сочетании с водой и воздухом, подается на зубы под высоким давлением. Недостаток метода ― возможность удалять только небольшие минеральные отложения в зоне видимости.
Если у пациента очень низкий болевой порог, стоматолог делает обезболивающий укол, а потом начинает удалять зубной камень.
Независимо от способа удаления камней, после окончания процедуры зубы полируют, ротовую полость санируют, эмаль обрабатывают составом на основе кальция и фтора. Это профилактические меры для предотвращения дальнейшего развития бактерий и повторного образования камня на зубах.
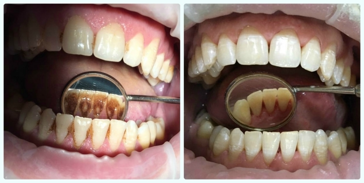
Зубной камень фото до и после


Удаление зубного камня, отзывы
Екатерина, 38 лет: «Победить зубной камень мне помогает только ультразвук! 30 минут раз в год, и я о камнях даже не вспоминаю! Кто-то говорит, что это дорого, но я считаю, что раз в год можно потратиться и сохранить здоровье своих зубов!».
Ольга 27 лет: «Пробовала избавиться от камней на эмали пастами, крючком, содой. Ничего у меня не вышло, пошла в стоматологию и мне удалили камни вручную серповидным кюретом, поскольку ультразвуку не доверяю. Процедура не очень приятная, но я осталась довольна! Теперь раз в год обязательно профессионально очищаю зубы, чтобы не запускать».
Федор, 61 год: «Перекись водорода и лимонный сок за пару дней растворяют зубной камень! А дорогие процедуры на новомодных аппаратах только семейный бюджет опустошают!».
Как снять зубной камень в домашних условиях
«Свежие» зубные камни можно легко удалить дома без помощи стоматолога. Для этого можно использовать сразу несколько способов:
- Народные средства ― удалить камень помогают подручные средства: лимонный сок, перекись, отвар хвои, соль и сода. На основе этих средств делают массу для чистки зубов.
- Зубные щетки ультразвукового типа или с вращающейся головкой хорошо справляются с пигментацией зубной эмали и наддесневыми минеральными отложениями.
- Специальные зубные пасты и гели ― это абразивные средства для гигиены зубной полости с выраженным противомикробным и отбеливающим эффектом.
Гель для удаления зубного камня
Когда механическое очищение зубов проводить нельзя, например, если у пациента пародонтоз, а абразивные зубные пасты не дают желаемого эффекта, зубной камень удаляют Скалинг гелем.
Действие этого средства основано на постепенном размягчении зубного камня под влиянием активных компонентов ― йодидов, которые наносятся специальным шприцом с насадкой.

Грецкие орехи от зубного камня
Обработка зубов орехами позволяет очистить их от бактериальных бляшек, минерального затвердения, желтого налета. Использовать можно любой вид орехов, но лучший эффект производят только грецкие орехи.
Ореховая паста готовится так: 200 г орехов ядер раздавливают под прессом, добавляют 5 г соли и 40 г меда, перемешивают и ставят в холодильник. Потом каждое утро ореховой пастой очищают зубы в течение 5 минут 2-3 недели.

Народные средства от зубного камня
Очищение перекисью водорода

3% перекись водорода способна растворить минеральные отложения на зубах за два дня. Однако использовать эту жидкость для обработки зубов можно не чаще, чем раз в декаду. Применяют перекись водорода тремя способами.
- Состав из перекиси водорода и соды ― смешайте чайную ложку соды, щепотку соли и 5 капель перекиси водорода, ингредиенты перемешайте, с помощью зубной щетки нанесите на зубную эмаль с камнем. Потом массажными движениями очистит зубы, ополоснуть рот настоем календулы или шалфея.
- Очищающий компресс ― обильно смочите ватный диск в перекиси, приложите к зубному камню на 5 минут, потом ополосните рот и воздержитесь от приема пищи на 1 час.
- Состав из перекиси и лимона ― соедините 2 ч. л. соды, 8 капель лимонного сока, 20 капель перекиси. Массу нанесите на зубную эмаль, в течение 4 минут втирайте ее в места с твердым налетом, потом прополосните рот чистой водой.
Удаление зубного камня с помощью фасоли

Фасоль и ее створки способны растворять каменные отложения на эмали. Распаренная кожура фасоли владеет абразивными свойствами, поэтому ее можно повстречать в составе многих лечебных зубных пастах с эффектом отбеливания.
Достоинством этого варианта очищения является его безопасность и эффективность. Для этого нужно 200 г фасоли (белой или красной) залить 300 мл кипятка, подождать полчаса и превратить фасоль в пюре с помощью картофеледавилки. Полученной массой чистят зубы не менее 5 минут, а потом ополаскивают ротовую полость отваром, в котором варилась фасоль. Повторяют процедуру ежедневно на протяжении двух недель.
Пюрировать распаренную фасоль блендером не рекомендуется. Это изменит нужную консистенцию продукта и метод потеряет свою эффективность.
Зубная паста, удаляющая зубной камень
Зубные пасты, предназначенные для удаления наростов на зубах, имеют ограниченные возможности, поэтому они могут справиться только с не затвердевшим минеральным камнем и налетом от продуктов. Эффективность таких паст определяется показателем RDA ― он должен быть не ниже 120.
Эффективностью обладает паста «PRESIDENT White Plus» с RDA 200 и активными веществами диоксид кремния и диатомит. А также паста «LACALUT White» с RDA 120, содержащая гидратированный диоксид кремния и фтор.

Влияют ли продукты на образование зубного камня
На скорость появления зубного камня влияет злоупотребление жареной пищей, кофе, углеводами. Несбалансированный рацион, в котором преобладают жареные и очень жирные блюда, провоцирует постоянное появление пленки на эмали. Ее толщина быстро увеличивается, и она минерализируется.

Удаление зубного камня ультразвуком, отзывы
Иван, 29 лет: «Чего я только не перепробовал до ультразвука! Эти камни на зубах появлялись просто на глазах, десна кровоточили, были проблемы со свежестью дыхания. Пошел как-то в другую стоматологию, где предложили очистку ультразвуком. Я словно на свет родился: никаких болевых ощущений, дискомфорта, и камней на зубах! Теперь могу уверить: этот метод самый эффективный!».
Ольга, 43 года: «Уже 5 лет удаляю зубной камень ультразвуком. По сравнению с удалением крючком этот метод более гуманный ― нет боли, жуткого скрежета, десна потом не кровоточат. Тьфу-тьфу-тьфу, зубы и десна после процедуры всегда целы. Главное, выбрать хорошего стоматолога с новым оборудованием».